WS9 dream dental

Before and After

BOOK A CONSULTATION
before after banner
Before After

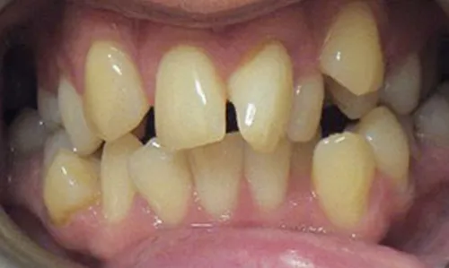
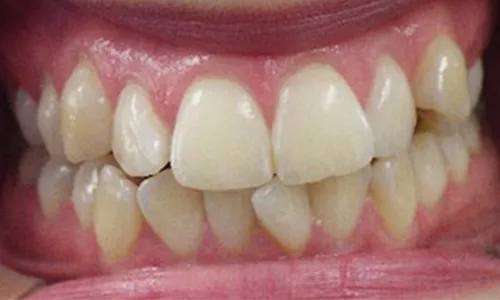
Patient 1

This patient hated their crooked smile. See their results after 6 months with clear brace treatment

Before After

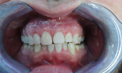
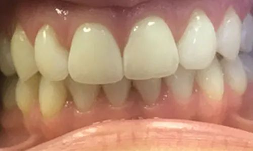
Patient 2

This patient hated their crooked smile. See their results after 12 months with Invisalignclear aligner treatment

Before After

Patient 3

This patient hated the colour of their teeth. See their results after 2 weeks with our boutique whitening treatment

Before After

Patient 4

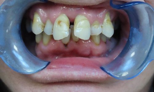
This patient had neglected her teeth over years due to the phobia of the dentist. Having been offered treatment under dental sedation, we managed to correct her smile within one dental visit lasting 60min.

Before After

Patient 5

This patient hated the spaces with her upper front teeth. She wore a clear brace for 4 months to correct her smile and see the results below.

Before After

Patient 6

This patient hated his crooked front teeth. He wore a clear brace for 5 months and then had tooth whitening to correct his smile.

Before After

Patient 7

This patient broke his front tooth after falling in the garden. It took us 20min to fix his front tooth with composite bonding.

Before After

Patient 8

This gentleman had ground his teeth down over years of stress. Again after 60min of treatment we rebuilt his smile with composite bonding and he was over the moon.

Before After

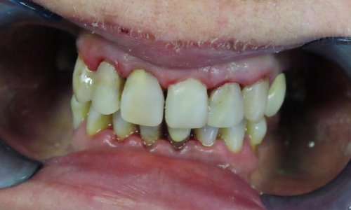
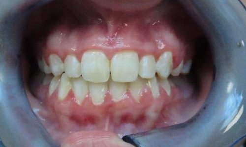
Patient 10

This gentleman had been wearing a denture which heated for over 7 years. At his first consult at WS9 Dream Dental, we recommended an dental implant bridge. The treatment took 3 visits and see the results below.

Before After

Patient 11

This gentleman had not been to the dentist for 15 years. He hated his smile and avoided smiling in photos. After some simple crowns and bridge work and white fillings you can see his transformation below.

Before After

Patient 12

This lady had not been to the dentist for 11 years. She was so nervous; she was shaking when she walked into the surgery. We recommended dental sedation and gave her a mini smile makeover. See her results below.

Before

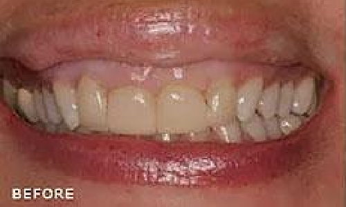
Patient 13

This young man hated his front teeth and opted for 2 front veneers. The treatment took 2 visits over 2 weeks. See his results below.

Before

Patient 14

This young lady hated his front teeth and opted for 4 front veneers. The treatment took 2 visits over 2 weeks. See his results below.

Before After

Patient 15

This lady hated her gummy smile. One visit gingival laser shaping and see her results below